פתולוגיות ונגעים על מיתרי הקול - גורמים ופתרונות

במאמר זה אפרט באופן מתומצת וברור את כל סוגי הנגעים והפתולוגיות שעלולים להתפתח על מיתרי הקול, הסיבות להיווצרותם והדרכים לפתרון. מלווה בתמונות להדגמה.

יבלות במיתרי הקול

יבלות במיתרי הקול נוצרות בחלק הקדמי של מיתרי הקול כתוצאה מלחץ חזק וחיכוך בין המיתרים בשל דיבור מאומץ לאורך זמן. היבלות הן למעשה עיבוי של המיתרים בחלקם הקדמי. העיבוי מפריע להתקדמות גל הקול במיתרים ומונע הצמדות של מיתרי הקול בזמן דיבור. הדבר גורם לצרידות, קול נשיפתי, וחוסר יציבות בקול. היבלות מופיעות בשני מיתרי הקול, זו מול זו. הן שכיחות באנשים דברנים ובאנשים שעבודתם דורשת דיבור רב כמו מורים, מרצים, אנשי מכירות ועוד. יבלות יכולות להופיע גם בילדים. הטיפול ביבלות כולל מנוחה קולית, הפחתת המאמץ הקולי, שיפור הפוזיציה והטון בזמן דיבור, ובמקרים של חוסר תגובה לטיפולים אלה - ניתוח להסרת היבלות.

פוליפ במיתרי הקול

פוליפ מופיע עקב קריעה של כלי דם עמוק במיתר הקול. נוצרת שלפוחית מלאה דם הנספגת באיטיות ומפריעה לתנועת מיתר הקול ולסגירה של המיתרים. שינויים כרוניים ברקמת המיתר באזור השלפוחית יוצרים את הפוליפ. הפוליפ הוא חד צדדי. פוליפ שכיח יותר בגברים העובדים בסביבה רועשת ונוהגים להרים את קולם. פוליפ יכול להופיע גם לאחר מאמץ קולי חד פעמי, כמו צעקה חזקה או שיעול חזק, ובאנשים הנוטלים מדללי דם כגון אספירין. הפוליפ מפריע לסגירה של מיתרי הקול וגורם לצרידות. הטיפול בפוליפ כולל שיפור הפוזיציה והטון בזמן דיבור וניתוח להסרת הפוליפ עם צריבה של כלי הדם המזין אותו.

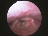
ציסטה במיתרי הקול

ציסטה היא כיס המכיל ריר או קרטין בתוך מיתר הקול. חלק מהציסטות מולדות וחלקן נוצרות עקב פציעה של מיתר הקול בשימוש לא נכון במיתרים. הציסטה גורמת לנפיחות של המיתר ולצרידות, ומפריעה להיווצרות גלי קול תקינים ולסגירת המיתרים. הטיפול כולל שיפור הפוזיציה והטון בזמן דיבור, וכן ניתוח להסרת הציסטה

גרנולומה במיתרי הקול

גרנולומה נוצרת עקב פציעה כרונית בסחוס שמתחבר למיתר הקול בחלקו האחורי. גורמי הסיכון להופעת גרנולומה הם דברנות, כחכוח גרון כרוני, שיעול כרוני ורפלוקס של חומצה מהקיבה לגרון. היא שכיחה יותר בגברים. הגרנולומה גורמת לצרידות עקב הפרעה בסגירת המיתרים. הטיפול כולל שיפור הפוזיציה והטון בזמן דיבור, טיפול נגד חומציות בקיבה, הזרקת בוטוקס למיתר עם הגרנולומה. לעיתים רחוקות יש צורך בהתערבות ניתוחית.

בצקת פוליפואידית במיתרי הקול

בצקת פוליפואידית במיתרי הקול מופיעה במעשנים המדברים הרבה. יותר בנשים. העישון גורם לשינויים כרוניים בתוך מיתר הקול ולהתנפחותו. הבצקת מפריעה לתנועת מיתרי הקול וגורמת לצרידות ולעיבוי הקול (קול "גברי"). לפעמים בצקת נרחבת יכולה לגרום גם לקוצר נשימה ולהרגשת מחנק עקב חסימה של מפתח הגרון. הבצקת היא דו-צדדית. הטיפול בבצקת כולל הפסקת עישון וניתוח לשאיבת הבצקת.

חשוב לזכור שהמערכת הקולית ושפתי הקול בפרט, הם עדינים ושבריריים ביותר. כדאי להקפיד ולשמור על דיבור נכון, המורכב מטון דיבור מתאים לסוג הקול שלכם, ומפוזיציית דיבור נכונה. חשוב וכדאי להשקיע בתרגילים נכונים ולהיות סבלניים מספיק לבצע שינוי אם זה נדרש למען בריאותנו הקולית. מאחל לכולנו מיתרים ורדרדים ובריאים לאורך זמן ושירה יפה !